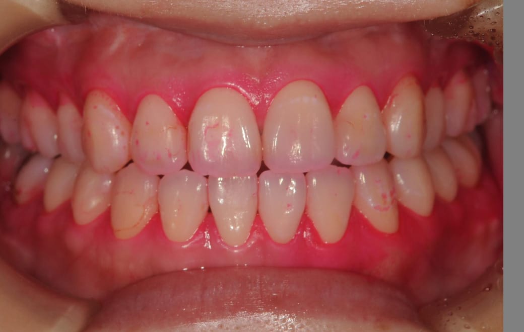
集中トリートメントケアの症例

治療前後の比較

お気軽にご相談ください

月‐土 9:00-12:00 / 14:00-17:00(木・土曜日は12:00まで)
最終受付 12:00 / 17:00

休診日 木・土曜日午後、日曜日・祝日

歯科医師・歯科衛生士・歯科技工士を募集しています

働きやすさを第一にライフスタイル・ステージが変わっても働き続けていける歯科医院です。

お問い合わせ・ご応募はこちら